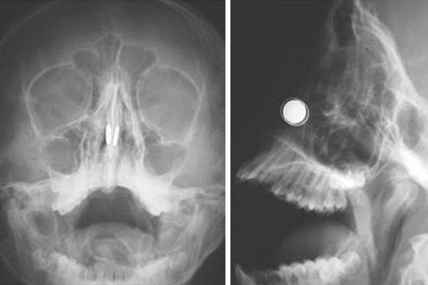
An 11-year-old boy was hospitalised after two magnets that he shoved up his nose snapped together.
The unnamed boy, from Cyprus, was unable to remove the magnets himself after they were drawn together in the bone and cartilage that divides the nostrils. He was rushed to the’Near East University Hospital, Nicosia, while his nose was then bleeding and he was in pain. Doctors then performed a scan and found the two disc-shaped magnets located’at the same level across the nasal septum. They noted that the magnets’had began to erode at cartilage in the boy’s nose.
Previous attempts to remove the magnets were unsuccessful, so the boy was taken to the operating room under anesthesia.
Surgeons then used two additional household magnets placed on each side of the nose to slide the ones stuck in the boy’s nasal septum out of his nostrils
Thankfully, the boy’s nose had healed completely after six months.
Impressed by the doctors’ ingenuity, – medics submitted the unusual case to the prestigious New England Journal of Medicine.
In the journal, the doctors warned about the dangers of having objects stuck in this area of the nose. “They can compress’the mucosa of the nasal septum, leading to necrosis and septal perforation,” they said.
Source: – Dailymail.co.uk

Hi, thanks for bringing that up! It’s 160°C. Give us a min to rectify this oversight so it won’t confuse…